advertisement
advertisement

Restorative Dentistry

Universal Simplicity Meets Comprehensive Esthetics: Two Clinical Cases Showcasing Modern Restorative Dentistry

...
Figure 1: Pre-op mandibular left second bicuspid with D1 decay
Figure 2: Selective etch
Figure 3: Restored Cl 2 with GrandioSO 4U with excellent esthetics and anatomy
Figure 4: Pre-op cosmetic case with small, short maxillary anteriors and diastema in the maxillary and mandibular anterior
Figure 5: Vertical placement of sectional matrix band for direct restoration of diastema
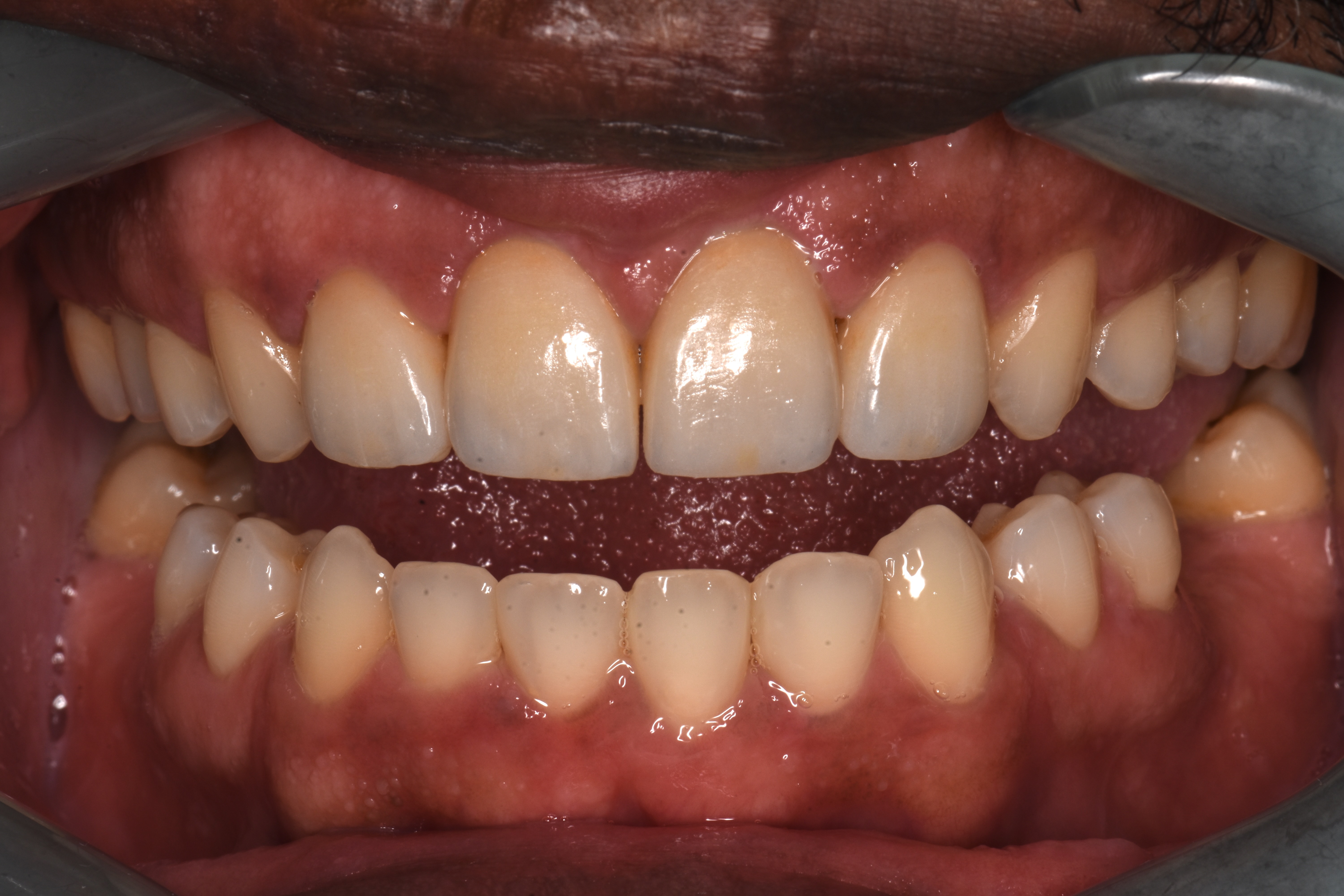
Figure 6: Post-op of maxillary ceramic veneers, gingival sculpting, whitening and mandibular diastema closure with single shade GrandioSO 4U
Figure 7: Full face post op

The contemporary restorative practice requires materials that can seamlessly integrate into both routine procedures and complex, multi-faceted treatment plans. Modern universal composites have evolved to meet this challenge, offering clinicians the ability to deliver predictable outcomes across diverse clinical scenarios. This article presents two contrasting cases that illustrate the versatility of VOCO’s GrandioSO 4U universal composite. First, a straightforward posterior Class II restoration demonstrating efficiency and reliability. Second, a comprehensive smile makeover where the same material played a critical supporting role alongside ceramic veneers, whitening, and soft tissue management. 

CASE 1: THE FOUNDATION—A POSTERIOR CLASS II RESTORATION

Sometimes the most important cases aren’t the most dramatic. A 40-year-old female financial planner presented for routine care with a moderate carious lesion affecting the mesial-occlusal surfaces of her mandibular left second bicuspid. This straightforward case represents the daily reality of restorative practice—and the foundation upon which patient trust is built.

The clinical examination was unremarkable (Figure 1) but radiographic examination revealed a D1 lesion on the distal surface and verified adequate remaining tooth structure for a direct restoration. This case was ideal for a universal composite approach.

Material selection was straightforward: GrandioSO 4U would provide the necessary strength for posterior occlusal forces while delivering the esthetics the patient desired. The decision was based on the material’s proven properties: 91% fi ller content by weight—the highest available in any universal composite—ensures exceptional wear resistance for long-term durability. The 1.44% volumetric shrinkage, among the lowest available, would help maintain marginal integrity in the challenging high C-factor environment of a Class II preparation.

Shade selection of A1 took less than 15 seconds due to the simplified five-shade system and chameleon effect. GrandioSO 4U’s Visual Transformation Technology proprietary system causes the uncured material to appear more translucent, then transform during polymerization to achieve optimal opacity matching natural tooth structure. 

Bonding protocol began with selective enamel etching—fifteen seconds of 37% phosphoric acid on the enamel margins only (Figure 2) followed by rinsing. Futurabond U, (VOCO), universal adhesive was then applied in selfetch mode on the prepared dentin and etched enamel, gently air-dried to a glossy appearance, and light-cured. This selective enamel etch approach combines the gold-standard enamel bonding of total-etch technique with the reduced post-operative sensitivity and technical simplicity of self-etch on dentin.

The first increment of the universal composite was carefully adapted to the distal wall against the matrix band. Light curing was performed. The second increment filled the box and built the restoration to marginal ridge height and the Cavo-surface margin. Occlusal anatomy was carved into the composite. After a second cure, the matrix was carefully removed.

The restoration was then contoured and finished using a systematic progression, and a surface luster virtually indistinguishable from natural enamel was achieved very quickly. (Figure 3)

The completed restoration was virtually indistinguishable from the surrounding tooth structure. The chameleon effect—enhanced by the Visual Transformation Technology and optimized light scattering from the 91% filler content—created seamless integration.

This case exemplifies universal composites at their best: efficient, predictable, durable, and esthetic. While not glamorous, these routine restorations form the foundation of restorative practice. When executed with proper technique and appropriate materials, they create satisfied patients who become advocates for the practice.

CASE 2: THE COMPREHENSIVE SMILE MAKEOVER—WHERE UNIVERSAL COMPOSITES MEET ADVANCED ESTHETICS

This case details a 45-year-old male who despite investing years achieving peak physical fitness, expressed frustration that his smile didn’t align with his overall self-image and personal standards. He had multiple diastema in his upper anterior and lower anterior teeth. His small upper incisors did not have adequate show. His tooth size discrepancy ruled out an orthodontic solution. Additionally, the gingival architecture was uneven and he desired brighter teeth. (Figure 4) 

This complex case would require a comprehensive, sequenced approach integrating multiple treatment modalities: so tissue recontouring, professional whitening, ceramic veneers on the upper incisors, and direct composite restorations on the lower anteriors.

A thorough discussion reviewed treatment alternatives, sequencing, timeline, and realistic expectations. For the maxillary incisors, the combination of small, short teeth, multiple diastema and the patient’s desire for maximum longevity made ceramic veneers the optimal choice. For the lower anteriors with multiple diastemas but otherwise sound tooth structure, direct composite bonding offered an excellent, conservative solution.

The treatment sequence was carefully orchestrated. Phase one addressed the so tissue concerns. Using a diode laser with local anesthesia, gingival recontouring of teeth #7, #8, #9 and #10 established harmonious, symmetric gingival margins across all four maxillary incisors.

Phase two implemented professional whitening to optimize the foundation shade.

Phase three addressed the maxillary incisors with minimal preparation ceramic veneers. Achieving a natural appearance was paramount for this patient. He wanted to improve his smile but not look like he had “a mouthful of veneers”. The transformation was dramatic. The maxillary anterior teeth now displayed beautiful, natural-looking veneers with appropriate translucency, proper length and proportion, and harmonious gingival architecture. The patient was thrilled— but the lower arch still required attention.

Phase four utilized GrandioSO 4U to close the lower anterior diastemas. The challenge was creating natural-looking diastema closures on four teeth that would harmonize with the newly whitened natural teeth and complement the upper ceramic veneers. Any mismatch would be immediately apparent in this highly visible esthetic zone. 

After thorough prophylaxis and shade verification (shade A1 was selected to match the bleached natural teeth), each tooth was treated systematically, beginning with tooth #23 and progressing through to #26. The protocol for each tooth was identical. Isolate from the adjacent tooth, etch-and-rinse adhesive technique (total-etch on anterior teeth with primarily enamel bonding), and careful adhesive—Futurabond U—application with thorough light curing.

GrandioSO 4U was placed incrementally against a vertically placed sectional matrix band. Careful attention was given to adapting the band against the cervical of the tooth to avoid any overhang. Line angles and emergence profiles were built to the matrix band (Figure 5). The Visual Transformation Technology proved invaluable here, creating natural opacity that blended seamlessly with the adjacent enamel while maintaining enough translucency at thin sections to appear natural.

Each restoration was carefully contoured before curing to approximate final form, minimizing finishing time. The non-sticky consistency of GrandioSO 4U made this sculpting process efficient and precise. Each increment received a ten-second cure, and careful attention to overlapping curing areas ensured complete polymerization.

The finishing process was critical to achieving natural results. A disc was utilized to soften the line angles. Then a similar technique to the posterior case above was implemented. 

The completed case was remarkable. The ceramic veneers on the upper incisors provided beautiful, predictable, long-term esthetics with excellent translucency and color stability. The direct composite closures on the lower incisors achieved natural-looking results that perfectly complemented both the upper veneers and the adjacent natural teeth. The shade match was excellent. The gingival recontouring had healed beautifully, providing symmetric, healthy soft tissue framing. The whitening created a bright, youthful appearance throughout. Most importantly, the patient was ecstatic. “I can’t stop smiling,” he reported at the final appointment. The transformation was comprehensive yet natural-looking—enhanced beauty without appearing artificial or overdone (Figure 6, Figure 7) 

This case demonstrates several key principles. First, universal composites like GrandioSO 4U can function successfully within complex, multimodal treatment plans. Second, the simplified five-shade system genuinely works—a single shade (A1) achieved excellent results across four different teeth in a highly critical esthetic zone. Third, proper technique and attention to detail matter as much as material selection. 

CLINICAL INSIGHTS AND CONCLUSIONS

These two cases—seemingly very different in scope and complexity—illustrate complementary aspects of modern restorative dentistry. Case 1 demonstrates that universal composites excel at the routine, essential restorations that form the foundation of practice success. Efficiency, predictability, and durability matter enormously in these everyday procedures. GrandioSO 4U’s high filler content, low shrinkage, simplified shade selection, and non-sticky handling contributed directly to the positive outcome and patient satisfaction.

Case 2 reveals that the same universal composite can successfully integrate into comprehensive, advanced esthetic treatment plans. When proper technique is applied—universal composites deliver results that harmonize beautifully with both natural teeth and indirect restorations.

The key to success with modern universal composites is understanding both their capabilities and their role within comprehensive treatment planning. They are not appropriate for every situation—Case 2’s small and short upper incisors were correctly treated with ceramic veneers for optimal long-term results. However, when appropriately indicated, universal composites provide excellent outcomes with conservative treatment, immediate results, and cost-effectiveness that benefit both patients and practices.

Simplicity doesn’t mean limitation. The evolution of dental materials has reached a point where a single, well-formulated universal composite can handle the vast majority of direct restorative needs. When combined with sound clinical judgment, proper technique, and realistic patient communication, these materials enable clinicians to deliver predictable excellence across the full spectrum of restorative challenges—from the simple Class II that builds patient trust to the complex smile makeover that transforms lives.

Tags

Personalized Recommendations


© 2025 American Dental Association